Teşhiste kullanılan testler
Çölyak hastalık teşhisinde D-ksiloz yükleme testi, serum B12 düzeyleri ve eritrosit folat düzeyleri gibi malabsorpsiyon testleri ne duyarlı ne de özgündür; immünglobulin testleri ise olukça duyarlı ve özgündür (6). Başlıca testler;
1. Antigliadin (AGA) IgG
2.Antigliadin (AGA) IgA
3.Antiendomizyum (EMA) IgA’dır.
4.Anti-doku transglütaminazı (tTG) IgA
EMA IgA ve tTG IgA teşhiste antigliadin antikorlardan (IgA ve IgG) daha önemlidir. Zaten günümüzde antigliadin antikor testlerinin yapılması artık önerilmemektedir.
Bu testler içinde en duyarlı ve özgün olan test anti-doku transglütaminaz IgA (tTG) ‘dır. İnsan tipi tTG IgA kitleri ile yapılan testlerin duyarlılık ve özgünlükleri ise daha da yüksektir.
Antiendomizyum (EMA) IgA’nın özgünlüğü tTG IgA gibi yüksek olsa da duyarlılığı onun kadar yüksek değildir. Yani EMA IgA düzeyi yüksek olan bir hastanın çölyak hastalık olma olasılığı çok yüksektir. Ama her çölyak hastayı saptayabilme gücü tTG IgA düzeyleri kadar yüksek değildir.
Testleri değerlendirirken hastanın total immün globulin A (IgA) düzeyleri kesin bilinmelidir. Eğer total IgA düşük ise (ki en sık görülen bağışıklık yetersizliğidir), çölyak hastalığı olmasa bile Antigliadin IgA ve Antiendomizyum (EMA) IgA düşük çıkacaktır.
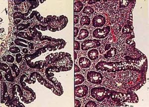
Histoloji: Hiçbir biyopsi bulgusu çölyak hastalığı için spesifik değildir (Şekil 3).
Marsh sınıflaması
Evre 0: Kan testleri müspet, histolojik değişiklik yok.
Evre I: İntraepitelyal bölgede ve lamina propriada lenfosit (CD4+), plazma hücresi, eozinofil ve parçalı hücre enfiltrasyonu vardır; villuslar normal yapıdadır.
Evre II: Kripta ve villüsler arası bölgenin hiperplazisi; villüsler normal yapıdadır.
Evre III: Subtotal villüs atrofisi (körelmesi)
Evre IV: Total villus atrofisi
Şekil 3. Normal kişilerde (solda) ve çölyak hastalarında (sağda) ince bağırsağın mikroskopik görünümü; solda bağırsak viilüslerinin nasıl köreldiği görülmektedir.

Tanı
1. Serolojik testlerin (tTG IgA, EMA IgA) müspetliği
2. Vilüs atrofisi
3. Glutensiz diyet ile 6 ayda histolojik bulguların ve kan testlerin negatifleşmesi
4. Glüten yüklendiğinde bulguların tekrar ortaya çıkması: Glüten yüklemesi hızlı büyüme evrelerinde (6 yaştan önce ve ergenlik dönemleri) yapılmamalıdır.
Tedavi
Buğday, çavdar, arpa ve yulaf ve ürünleri diyetten çıkarılır. Mecbur kalınınca (toksisitesi daha az olduğundan) az miktarda çavdar, arpa ve yulaf verilebilir. Mısır, darı ve pirinç ise korkusuzca kullanılabilir. Başlangıçta laktoz (süt şekeri) entoleransı olabilir. Bu durumda geçici bir süre laktozdan fakir diyetler kullanılır. Hastalık düzeldikçe süt ürünleri daha rahat tüketilebilir.
Mısır ekmeğini tutturmak güçtür; çabuk dağılır. Piyasada mısır ekmeğini tutturmak için genellikle içine buğday unu eklerler. Eğer bu ekmeklere güvenirseniz çölyak tablosu düzelmez. Onun için bu mısır ekmeğini kendiniz yapmanız gerekir. Unu alırken, katıksız mısır unu olmasının da büyük önemi var. Bunun için unu güvenilir yerlerden temin etmek gerekir.
Bu zorluklardan dolayı veya mısır ekmeği yememek isteği, başka bir ekmek ihtiyacını ortaya çıkartmıştır. İşte böyle bir ekmek (Glütensiz Ekmek®) Türkiyede ilk 2000 yılında başkanı olduğum Cerrahpaşa Tıp Fakültesi Çocuk Metabolizma ve Beslenme Bölümü’nde hazırlandı (7) ve işbirliğine gittiğimiz İstanbul Halk Ekmek tarafından çok ucuz bir fiyatla satılmaya başladı.
Ekmeğin mimarı ekibimizdeki Beslenme Doktoru ve Uzman Biyolog Sema Yalvaç’tır. Ekibimiz daha sonra Eti Pronot® biküvisinin ve bundan 2 yıl önce yine İstanbul Halk Ekmek tarafından çıkartılan Glütensiz Nişastalı Karışım®’ın da bilimsel ve uygulamalı çalışmalarını yaptı.
yapılmamalıdır.

Tedavinin etkinliği
Başarılı bir diyet tedavisi ile körelmiş (atrofik) bağırsak 6 ay içinde düzelir ve serumdaki antikor düzeyleri düşer. Anemi (demir eksikliği, folik asit, B12 vit) uygun şekilde tedavi edilmelidir.
Prof. Dr. Ahmet Aydın’ın Çölyak hastalarına öğütleri
Taş devri diyeti uygulayın
Buğday, çavdar, arpa ve yulaf gibi tahıllardan uzak durun. Mısır, darı ve pirinç gibi tahılları az kullanın; hatta hiç yemeyin. Tahıllı gıda yememenin insan sağlığına hiçbir zararı olmadığı gibi çok sayıda faydası da vardır. Zaten insanlık tarihinin yüzde 99’u tahılsız bir dönemden geçmiştir bu nedenle genlerimiz tahıllı gıdalara henüz adapte olamamıştır. Mecbur kalmadıkça unlu ve şekerli hiçbir gıda yemeyin (Buna bizim çıkarttığımız ekmek ve unlar da dahildir).
Ekmek yemezsek bazı vitaminleri (B1 vitamini gibi) alamayız düşüncesi yanlıştır. Dünyada tahıl yemeyen fakat doğal beslenen hiçbir insan grubunda beriberi (B1 vitamini yetersizliği) olmaz. Zaten çoğunlukla beyaz ekmek tüketiliyor. Beyaz ekmekte ise nerdeyse hiçbir vitamin yoktur. Taze sebze ve meyveler ile mayalanmış gıdalar ihtiyacımız olan bütün vitamin ve mineralleri sağlarlar.
Mümkünse hiç unlu gıda yemeyin. Birçok çölyaklı hastada aşırı bir unlu gıda düşkünlüğü mevcuttur. Hastaların birçoğu glütensiz unlu ürünler serbest olduğu için, bunları fazla miktarda tüketiyorlar. Ya da böyle gıdaları yemek sağlıkları için iyidir zannediyorlar. Halbuki unlu gıdaları aşırı yemek tıpkı şekerli gıdaları aşırı yemek gibi metabolik sendroma (insülin direnci) yol açıyor; buna bağlı olarak çok sayıda ciddi kronik hastalıklar gelişiyor. Çölyak hastalığından kurtulup da başka bir hastalığa tutulmak, okyanusu geçtikten sonra çayda boğulmaya benziyor.
Hazır satılan gıda paketlerinin üzerindeki etiketleri dikkatle okuyun ve glüten içerip içermediğinden emin olunmayan ürünleri almayın. Gıda paketlerinin üzerinde glüten içermez yazılmasının sağlanması için gayret sarfedin. glütensiz yiyecek listeleri temin etmek çölyak derneklerine ( turk_celiac@yahoogroups.com Bu mail adresi spam botlara karşı korumalıdır, görebilmek için Javascript açık olmalıdır ) baş vurun.
Türkiyedeki glütensiz gıdaların glütensiz gıda yönetmeliğine uyup uymadığını kontrol edin. (http://eski.kkgm.gov.tr/Mevzuat/KodeksList.htm)
Bağırsaktaki faydalı mikrop (probiyotik) düzenini sağlayın. Bunu düzeltirseniz belki hastalıktan tümüyle kurtulma ihtimaliniz de olabilir. Normal bağırsak floranızın olması için şunları yapın; (bu tedbirler sizi birçok önemli başka hastalıktan da koruyacaktır)
Unlu-şekerli gıdalar bağırsaktaki zararlı mikropların üremesini artırırlar; bunları kesin.
Turşu, kefir, ekşiyebilen yoğurt, klasik peynir, mandıra sütü, şarap, boza, sirke, nar ekşisi ve bira mayası gibi geleneksel fermantasyon ürünleri bağırsaktaki faydalı mikrop sayısını artırırlar. Bu mikroplar birçok faydalarının yanı sıra glüten parçacıklarını kullanan bakterilerin üremesini de azaltırlar.
Bağırsaktaki faydalı mikrop düzenini bozacağı için çok zorunlu olmadıkça antibiyotik kullanmayın.
Çocuğunuzun sağlığı için sezaryen doğumlardan mümkün olduğunca kaçının. Aksi halde vajinadan geçemediği ve oradaki faydalı mikropları alamadığı için bebekte normal bağırsak florası tam anlamı ile gelişemez.
Bebeğinizi anne sütü ile besleyin. Probiyotiklerin üremesini artıran en önemli gıda anne sütüdür.
KAYNAKLAR
- Stepniak D, Spaenij-Dekking L, Mitea C, Moester M, de Ru A, Baak-Pablo R, van Veelen P, Edens L, Koning F. Highly efficient gluten degradation with a newly identified prolyl endoprotease: implications for celiac disease. Am J Physiol Gastrointest Liver Physiol (May 11, 2006). doi:10.1152/ajpgi.00034.2006
- Roy S. Jamron Are Commensal Bacteria with a Taste for Gluten the Missing Link in the Pathogenesis of Celiac Disease? http://www.celiac.com/st_prod.html?p_prodid=967
- Fasano A. European and North American populations should be screened for coeliac disease. Gut 2003;52:168-9.
- Maki M, Kallonen K, Landeaho ML, Visakorpi JK.: Changing pattern of childhood coeliac disease in Finland. Acta Paediatr Scand 1988; 77:408-412.
- Greco,L., Mayer,M., Grimaldi,M., Follo,D., De Ritis,G., Auricchio,S.: “The effect of Early Feeding on the onset of Symptoms in Coeliac Disease” J.Pediat. Gastroenterology Nutrition, 4:52-55, 1985.
- http://www1.lf1.cuni.cz/~kocna/ginet/texty/g_coeli.pdf
- http://www1.lf1.cuni.cz/~kocna/ginet/texty/g_coeli.pdf WGO-OMGE Practice Guideline Celiac Disease
- Yalvaç S, Aydın A, Altay Sİ, Kavunoğlu G. Düşük proteinli glütensiz Özel Diyet Nişasta Ekmeği: Araştırmadan uygulamaya. Türk Pediatri Arşivi 2001;4: 193-8


