Çölyak hastalığı çok yaygın. Ülkemizde her 100 kişiden birinin çölyak hastası olduğu biliyoruz. Bu hastaların çok büyük bir kısmı teşhisi konulmamış bir şekilde hastalıklı olarak hayatlarını sürdürüyorlar. Çölyak hastalığı aslında buzdağının sadece görünen küçücük bir parçası. Bir de glüten entoleransı denilen bir hastalık tablosu var ki buna çölyak hastalığının hafif bir şekli denilebilir. Aslında buzdağının görünmeyen büyük parçası. Yapılan sınırlı çalışmalar glüten entoleransının toplumun en az %6-7’sinde olduğunu gösteriyor. Sıklığın %50’lere kadar olduğunu bildiren çalışmalar da var. Bültenimizin bu sayısında en önemli sağlık sorunlarımızın başında gelen çölyak hastalık, buğday alerjisi ve glüten entoleransı ile ilgili olarak editörümüz Prof. Dr. Ahmet Aydın ile yaptığımız söyleşiyi bulacaksınız.
SEBEBİ BELLİ OLMAYAN HASTALIKLARINIZ VE ŞİKAYETLERİNİZ BUĞDAY PROTEİNİ GLÜTENE BAĞLI OLABİLİR
Son yıllarda çölyak hastalığı, buğday alerjisi ve glüten entoleransı isimlerini çok duyuyoruz; bunlar nasıl hastalıklar hocam?
Dünyada en çok tüketilen besin grubu tahıllar. En çok tüketilen tahıl da buğday. Türkiye Dünyada kişi başına en çok buğday tüketen ülke. Bir Türkiye Cumhuriyeti vatandaşının aldığı kalorinin yaklaşık yarısı buğdaydan (ekmek, bulgur, makarna vb) kaynanıyor.
Tahıllardaki proteinler bazı durumlarda insanlara zararlı olabilmektedir. Tahıl proteinlerinin farklı isimleri var; buğdaydakine glüten, çavdardakine sekalin, arpadakine hordein ve yulaftakine avenin deniyor. En toksik olan protein de glüten; aveninin (yulaf) toksitesitesi ise düşük. Fakat bu tahılların nişasta kısmı toksik değil. Pirinç, darı, karabuğday ve mısırda bulunan proteinler ise toksik değiller.
Glüten proteinleri, ekmek yapımı esnasında oluşan ağsı yapıdan sorumlu; glütensiz istenilen hamur yapısı oluşamaz ve ekmek mayalanamaz. Glüten fazla ise hamur daha çok kabarır, ürün daha büyük gözükür, daha iyi çiğnenir. İşte yüksek glütenli buğdayın tercih edilmesinin sebebi bunlar.
Glüten iki farklı protein grubundan oluşmuştur; prolaminler ve gluteninler. Başlıca prolamin proteini gliadindir ve çölyak hastalığı veya glüten entoleransından sorumlu proteindir. Diğer buğday proteinleri ise çok toksik değildir.
Glüten büyük moleküler yapısı ile sindirimi zor bir proteindir. Sindirimin tam olarak yapılamaması başlıca üç klinik tabloya yol açar (1);
- Çölyak hastalık (ÇH)
- Buğday alerjisi (BA)
- Glüten entoleransı(GD)
Bunlardan ilk ikisi eskiden beri çok iyi bilinmektedir. Her ikisi de gastrointestinal sistemde glüten’in T hücrelerini aktive etmesine bağlıdır. Fakat buğday alerjisinde ek olarak humoral bağışıklık tarafından üretilen IgE molekülü de önemli bir rol oynuyor. IgE glüten peptitleri ile çapraz bağlanarak mast hücreleri ve bazofillerden histamin gibi alerjik kimyasalların ortaya çıkmasına neden oluyor.
Çölyak hastalık otoimmün bir hastalık. Glüten entoleransı ise ne klasik bir alerji ne de otoimmün bir hastalık (1). Bu üçlü içinde en az tanınanı glüten entoleransı. Fakat diğerlerinden defalarca fazla görülüyor.
Son yıllarda adını çok duyduğumuz çölyak hastalığı nasıl bir hastalık hocam?
İnce bağırsaklar ağızdan aldığımız gıdaların sindirildiği ve buradan da kan dolaşımına katıldığı boru tarzında bir organımız. Borunun iç yüzünde villüs denilen eldiven parmağı gibi milyonlarca çıkıntı var. Villüslerin özellikle tepeleri sindirilen gıdaların kana geçtiği yerler.

Resim 1. Bağırsak villüsleri
Çölyak hastalığında glüten bu villüslerin özellikle tepelerini köreltiyor ve başta yağlar olmak üzere sindirilen gıdaların büyük bir kısmı emilemiyor. Sonuçta yağlı ishal, karın şişliği ve büyüme geriliği ile hastalık karşımıza çıkıyor. Ayrıca parçalanmamış buğday proteinine karşı kanda gelişen bağışıklık sapması (otoimmünite) çeşitli organlarda rahatsızlıklara neden oluyor.
Çölyak hastalığı hangi sıklıkta görülüyor?
Hastalığın klasik formunun ortalama sıklığı 1:1000. Hafif ve gizli olgular da katıldığında bu oran 1:133‘ye kadar yükseliyor (2). Bazı taramalarda 1:33’lük sıklıklar bile saptanmış. Kadınlarda erkeklere oranla biraz daha fazla görülüyor. Türkiye’deki sıklığın ise 1:100 civarında olduğu saptanmış (3).
Hastalığın sıklığı son yıllarda arttı mı? Yoksa hastalık eskiden de bu kadar sıktı fakat teşhis mi edilemiyordu?
1948-1952 yılları arasında Amerikan Hava kuvvetlerinde çalışan 9133 sağlıklı askeri personelin saklanmış kan örneklerinde günümüzde o zaman mevcut olmayan çölyak hastalığını gösteren testler yapılmış (4). Bu testler (anti-doku transglütaminaz ve antiendomizyal antikorlar) o zaman henüz yapılamıyor. Bu sonuçlar günümüzdeki aynı yaşta sağlıklı 7210 kişinin kan sonuçları ile kıyaslanmış. 50’li yıllardaki grupta gizli çölyak hastalığı oranı binde 2 bulunurken, günümüzde bu oran binde 9’a çıkmış. Anlayacağınız yarım yüzyılda gizli çölyak hastalığı 4.5 kat artmış. Bu çalışma çok önemli çünkü birçok otorite çölyak hastalığı sıklığındaki bu artışı hastalığı erkenden teşhis eden bu testlerin yaygın uygulanmasına bağlıyorlardı ki, bunun doğru olmadığını bu çalışma bize gösteriyor. Aynı çalışmanın bir önemli sonuca daha var. Gizli çölyak hastalığı olanlardaki erken ölüm oranı, olmayanlara göre 4 kat fazla imiş.
Peki, bu artışın sebebi ne sizce?
Bence bu artışın birinci nedeni ekmek dışında da aşırı glüten içeren hazır gıdalar (pasta, hazır çorba, soslar, gofretler vb) yememiz. İkinci temel neden günümüzde yediğimiz buğdayın melezleştirme yolları ile glüten içeriğinin artması (5). Köy ekmeklerinde kullanılan ekşi maya mayalanırken buğdaydaki glüten miktarını azaltıyor. Ama son yıllarda ekşi mayaların yerine, fenni mayaların kullanılması çok yaygınlaşmış durumda.
Zaten glüten evrimde çok yeni bir zaman sayılabilecek 10,000 yıl önce diyetimize girmiş. Eskiden bununla zar zor baş ederken günümüzde artan bu yükü kaldırmakta zorluk çekiyoruz.
Ayrıca modern rafine gıdaların bağırsak mikrop düzenimizi bozması sonucu faydalı mikropların azalması ve buna bağlı olarak da buğday proteini olan glütenin yeteri kadar sindirilmeden kana geçmesi de çölyak hastalığının artışında önemli bir etken. Örneğin üst gastrointestinal sistemimizde bulunan Rothia ismli bakterinin enzimleri glüteni sindirebilmektedir (6).
Bağırsak mikrop düzeninin bozulması sonucunda bağırsak geçirgenliği artıyor. Sindirilmeyen protein parçacıklarının (buğday, süt ve baklagil proteinleri gibi) kana geçmesi, bağışıklık sistemini uyarıyor; kronik iltihabi bir süreç başlıyor. Bu süreç sadece bağırsakta değil bağırsak dışı birçok organda da iltihabi hastalıklara yol açabiliyor. Çünkü bu protein parçacıkları çeşitli organlarımızın hücre proteinlerine çok benziyor ve bağışıklık sistemimiz bu proteinleri etkisiz hale getirirken çeşitli hücrelerimizi de hasara uğratıyorlar.
Anne sütü erken dönemde kesilenlerde çölyak hastalık daha fazla görülüyor (7). Glüten içeren gıdalara anne sütü kesildikten sonra geçen çocuklarda çölyak hastalık sıklığı, anne sütü almaya devam ederken geçenlere göre daha fazla görülmekte. Yani anne sütünün birçok hastalıkta olduğu gibi bu hastalıkta da koruyucu.
Çölyak hastalığı genetik bir hastalık mı?
Çölyak hastalık (ÇH) hemofili gibi klasik bir genetik hastalık değil, ama genetik bir yatkınlığın olduğu da biliniyor. Aynı aile içinde hastalık görülen bireylerin sayısı normale göre daha fazla. Yakın akraba evliliklerinde risk artıyor.
Çölyak hastalıkta kompleks bir protein olan glüten normal sindirim sürecinde olduğu gibi, tümüyle amino asitlere kadar parçalanamıyor. Tam parçalanamayan glüten ancak, birden fazla amino asitten oluşan ve peptit dediğimiz moleküllere indirgeniyor. Çölyak hastalıkta glüten yetersiz sindirildiği için 30 amino asitten daha uzun peptitler bile oluşabiliyor.
Peptitler ince bağırsak hücrelerine, oradan da kana geçiyor. Burada doku transglütaminazı adı verilen enzim, bazı glüten peptidlerini ‘deamidasyon’ denilen işleme maruz bırakıyor. Bu sırada bağışıklık hücrelerini uyarılıyor. Sonuçta bağırsak mukozası tahribata uğruyor ve villüsleri köreliyor.
Çölyak hastalığı hangi yaşlarda görülüyor?
Tahılla beslenmeye başlandıktan sonraki herhangi bir yaşta ortaya çıkabiliyor, çölyak hastalığı. Niye kiminde erken, kiminde geç, kiminde aşikar, kiminde belli belirsiz; işte bunun nedenini bilemiyoruz. Büyük ihtimal çevresel nedenlere bağlı.

Resim 2. Klasik çölyak hastalığı
Çölyak hastalığı hangi belirtilerle ortaya çıkıyor?
Hastalığın 4 formu var; klasik form, geç form, atipik form, sessiz form.
Klasik tip: Glüten içeren yiyeceklerin diyete eklenmesi (4-6 ay) ile birlikte kusma, yağlı ishal, tartı alamama ve karın şişliği gibi bulgular ile hastalık kendini ortaya koyuyor. Hastanın yaşı ilerleyince karın şişliği ve yağlı dışkılama artıyor. Kansızlık ve davranış bozuklukları (huzursuzluk, huysuzluk, otizm, hiperaktivite vb) sık görülüyor.
Geç tip: Genellikle 2-8 yaşları arasında bulgu veriyor. Fakat erişkin çağında başlaması da istisnai değil. Gelişme geriliği ile ortaya çıkıyor. Bunlarda karın şişliği ve ishal belirgin değil. Ayrıca aşağıda belirtilen semptom ve bulgulardan bir ya da birkaçı bulunabiliyor.
Atipik formalar: Çölyak hastalığı klasik bulgular (ishal, karın şişliği) olmadan da semptom verebiliyor. Bu semptomlar ileri yaşlarda da ortaya çıkabiliyor.
Sessiz formlar: Bu hastaların kan testleri müspettir, fakat herhangi bir hastalık belirtisi yoktur; hatta biyopsi bulguları normal de olabilir. Bu kişiler olan kişiler uzun süre izlenmelidirler. Çünkü bu hastalar hayatın her hangi bir döneminde belirti verebilirler. Doğal gıdalarla beslenen kişilerde bu olasılık düşüktür. Bu hastalık formunun bazı topluluklarda sıklığı ise 1: 30 gibi çok yüksek.
Çölyak hastalığı sadece bağırsakları mı etkiliyor?
Çölyak aslında birçok sistemi tutabilen bir hastalık; yani sadece bağırsak ile ilgili değil. Beyini de, eklem yerlerini de, deriyi de ve daha birçok dokuyu da etkileyebiliyor. Hatta bazı kanserlere de yol açabiliyor. Bu belirtiler klasik hastalığın bir parçası olabildiği gibi, tek başlarına da ortaya çıkabiliyor. Bunları teşhis etmek çok daha güç. Aklınıza çölyak hastalığı gelip de ilgili kan testlerini istemezseniz hiç bir zaman teşhisi koyamıyorsunuz. Teşhis, konuyu daha iyi bildiklerinden çocuk hekimleri için biraz daha kolay. Ama hastaların önemli bir bölümü çocuk değil.
Mesela dermatitis herpetiformis dediğimiz bir deri hastalığı var. Diyelim ki, sizin böyle bir hastalığınız var ve hekime gittiniz. Eğer hekimin aklına bu yaraların çölyak hastalıkla ilişkili olabileceği gelmezse, size çeşitli merhemler verilir ve bu bir işe yaramaz, yaralar tekrarlar durur. Eğer hekimin aklına çölyak hastalığı gelirse artık teşhis kolaydır ve sadece bu diyetle bütün şikayetleriniz düzelir.
Örneğin çölyak hastası sadece boy kısalığı ile hekime müracaat edebilir. Boy kısalığı ile ilgili kliniklere müracaat edenlerin neredeyse yüzde 10-20’sinde çölyak hastalığı tespit ediliyor. Bu nedenle bütün boy kısalığı olguları çölyak hastalığı açısından taranmalıdır. Nitekim çocuk endokrin polikliniklerine boy kısalığı nedeni ile müracaat edenlerin neredeyse yüzde 10-15’inde çölyak hastalığı tespit ediliyor.
Bakın bunun gibi kaç tane daha bağırsak dışı hastalık var (Tablo 1).
Tablo 1. Çölyak hastalığının semptom ve belirtileri
- Mine hipoplazisi: Diş minesi yeteri kadar gelişemiyor.
- Boy kısalığı.
- Nedeni belli olmayan nörolojik bozukluklar (ataksi, periferik mononörit, miyopati, miyelopati)
- Davranış bozuklukları ve depresyon
- Otizm
- Hiperaktivite-dikkat dağınıklığı
- İntihar eğilimi
- Nedeni belli olmayan eklem iltihapları (artrit) ve eklem ağrıları (atralji)
- Demir tedavisine cevap vermeyen anemi (kansızlık)
- Tekrarlayan ağız yaraları (aftöz stomatit)
- Dermatitis herpetiformis (DH): simetrik, kaşıntılı derialtı kabarcıkları
- IgA nefropatisi (böbrek hastalığı)
- Bağırsak lenfoması, yemek borusu kanseri ve yutak kanseri normal popülasyondan iki kat daha sıktır.
- Nedeni bilinmeyen kısırlık
- Otoimmün hastalıklar (Hashimoto tiroidit, romatoid artrit, Tip 1 diyabet, alopecia areata, hepatitit, sistemik lupus erimatozis vb).
Çölyak hastalıktalarında diğer otoimmün hastalıklar da normal popülasyondan çok daha fazladır (8). İtalya’da yapılan bir araştırmada çölyak hastalığı olan çocuklarda diyete uymadıkları taktirde 2 yaşında %5 olan otoimmün hastalık oranı 20 yaşında %35’e çıkmıştır.
Çölyak hastalıkta tanı nasıl konuluyor?
Kan testleri önemli. Temel olarak 3 çeşit kan testi var; antigliadin IgA ve IgG, antiendomizyum (EMA) IgA ve IgG, anti-doku transglütaminazı (tTG) IgA ve IgG.
Önce bu testlere bakıyorsunuz, pozitif çıkıyorsa, o zaman bağırsaktan parça alınıyor ve patolojide inceleniyor. Çölyak hastalıkta bağırsak villusları dumura uğruyor ve yassılaşıyor. Bunu gördüğümüz zaman (ilaveten bahsettiğimiz testler de pozitifse), teşhisi tam koyuyorsunuz. Yine de çok iyi emin olabilmek için şu yapılabilir. Siz bir diyet uyguluyorsunuz, hastalığın bu diyetle düzelmesi lazım. Sizin teşhisiniz doğruysa bu diyetin tutması lazım. Daha sonra diyet bozulduğunda, rahatsızlık tekrar başlıyorsa o zaman hastalığın teşhisinden çok daha iyi emin olabiliyorsunuz.

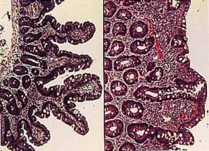
Resim 3. Bağırsak biyopsisi. A Normal villüsler. B. Dumura uğramış villüsler.
Çölyak hastalığında villus atrofisi (körelmesi) kısmi ise hastaların ancak %30’da kan testleri pozitif çıkıyor. Bazen tersi bir durum da olabilir. Villus atrofisi olmadan kan testleri de pozitif çıkabilir. Bu durumda test yalancı pozitif olarak kabul ediliyor. Halbuki olumsuz etkenler gerçekleşirse o şahısta daha sonraki yıllarda çölyak hastalık ortaya çıkabiliyor. Yani kan testleri için yalancı pozitiflik yok. Ateş olmayan yerden duman çıkmaz.
Bazen de bir test pozitifen diğerleri negatif olabiliyor. Kenneth Fine 227 gönüllü kişide çölyak testleri yapmış ve %11’inde antigliadin IgG veya IgA’yı pozitif bulmuş. Ama bu kişilerin sadece %0.4’ündeantiendomysial ve anti doku transglutaminaz’ı pozitif bulmuş (9). Yani antigliadin antikorlarının pozitif olması, diğer testler negatif çıksa bile bir şeylerin yanlış gittiğinin göstergesi.



[…] 4) Sebebi bilinmeyen hastalıklarınız ve şikayetleriniz, buğday proteini GLÜTEN’e bağlı ol… […]